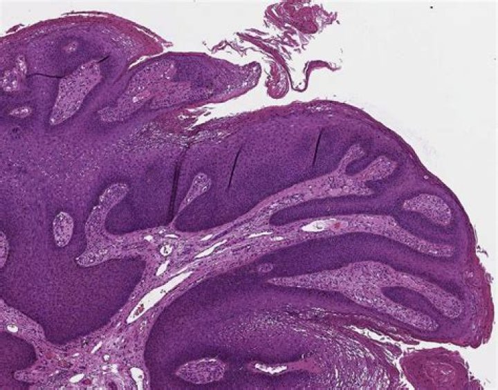
Keratoacanthomas are rapidly growing, squamoproliferative benign tumors that resemble squamous cell carcinoma. They begin as round, firm, reddish or skin-colored papules that develop into dome-shaped nodules with a keratin-filled crater (Figure 3). They may grow to 1 to 2 cm over weeks or months.

Is keratoacanthoma benign or malignant?

Keratoacanthoma (KA) is a self-limiting benign epithelial neoplasm. It occurs predominantly on sun-exposed areas of the body and is believed to arise from hair follicle. It shows a unique behavior in being clinically benign and microscopically malignant.

What is the meaning of endophytic?

: an organism (such as a bacterium or fungus) living within a plant.

What is the meaning of endophytic fungi?

Endophytic fungi inhabit plant tissues without destroying or producing substances that cause an infection to the host cell. 45. Their coevolution means that the endophytes produce the same or similar compounds to those originating from the plant.

What are the 3 types of lesions?

They tend to be divided into three types of groups: Skin lesions formed by fluid within the skin layers, such as vesicles or pustules. Skin lesions that are solid, palpable masses, such as nodules or tumors. Flat, non-palpable skin lesions like patches and macules.

Do Keratoacanthomas need to be removed?

It’s not unusual for a single keratoacanthoma to shrink and disappear on its own after several months. But it may leave a worse scar than one from surgery. It could also come back, so it’s best to get it removed. If you don’t treat it, keratoacanthoma can spread throughout your body.

Should keratoacanthoma be removed?

How quickly should a keratoacanthoma be removed?

Treatments Your Physician May Prescribe If left untreated, most keratoacanthoma spontaneously disappear (resolve) within 6 months, leaving a depressed scar. However, they may cause significant damage to the skin and underlying layers of tissue as well as psychological distress.

What is endophytic mycorrhiza?

Mycorrhiza” describes a type of fungus that has a mutualistic relationship with plant roots. While , “Endophyte” describes a fungus that lives within above-ground healthy plant tissue and doesn’t seem to harm it. They just describe these general functions/habitats. “

Where are endophytes found?

Abstract. Endophytes are symptomless microbes found in different plant tissues. Endophytes are beneficial for the growth of the host plant and essential part of biogeochemical cycling in the environment. The host range of endophytes is comprehensive, that is, cereals, pulses, oilseeds, medicinal plants, and trees.

What’s the difference between a lesion and a tumor?

A bone lesion is considered a bone tumor if the abnormal area has cells that divide and multiply at higher-than-normal rates to create a mass in the bone. The term “tumor” does not indicate whether an abnormal growth is malignant (cancerous) or benign, as both benign and malignant lesions can form tumors in the bone.

What do sarcoid lesions look like?

Smooth bumps or growths Mostly painless, these bumps and growths tend to develop on the face or neck, and often appear around the eyes. You may see lesions that are skin-colored, red, reddish-brown, violet, or another color. When touched, most bumps and growths tend to feel hard.

What is the medical definition of an endophytic tumor?

Medical Definition of endophytic. : tending to grow inward into tissues in fingerlike projections from a superficial site of origin —used of tumors — compare exophytic.

How are squamoproliferative lesions used to diagnose Ka?

We used strict criteria for a diagnosis of KA as outlined in standard dermatopathology texts. We found that 73% of lesions were squamoproliferative in nature, of which 14% met the criteria for a diagnosis of kerato-acanthoma. 43% of the lesions showed verruca-like features and were designated as BRAF inhibitor associated verrucous keratosis (BAVK).

Is there a pas for atypical squamoproliferative lesion?

PAS “Atypical Squamoproliferative lesion” Resection of tongue: SCC, moderately differentiated Ann Diag Pathol 2002;6;399-403 “When I look at a malignant tumor , probably a carcinoma, and I have trouble perceiving is a SCC vs something else… , then is a poorly differentiated SCC.

What are the classes of non clavicipitaceous endophytes?

Many non-clavicipitaceous endophytes have the ability to switch between endophytic behavior and free-living lifestyles. Non-clavicipitaceous endophytes are divided into class 2, 3 and 4. Class 2 endophytes can grow in plant tissues both above and below ground.

What kind of tumor is a squamoproliferative lesion?

What is a Squamoproliferative lesion? Keratoacanthomas are rapidly growing, squamoproliferative benign tumors that resemble squamous cell carcinoma. They begin as round, firm, reddish or skin-colored papules that develop into dome-shaped nodules with a keratin-filled crater (Figure 3). They may grow to 1 to 2 cm over weeks or months.

Which is the best definition of an endophytic?

1. pertaining to an endophyte. 2. growing inward; proliferating on the interior of an organ or structure. Miller-Keane Encyclopedia and Dictionary of Medicine, Nursing, and Allied Health, Seventh Edition. © 2003 by Saunders, an imprint of Elsevier, Inc.

How are squamoproliferative lesions arising in the setting of BRAF?

To our knowledge this represents the first detailed histological analysis of the squamoproliferative lesions which arise in the context of treatment with BRAF inhibitors, and highlights the morphological diversity of these lesions.

Many non-clavicipitaceous endophytes have the ability to switch between endophytic behavior and free-living lifestyles. Non-clavicipitaceous endophytes are divided into class 2, 3 and 4. Class 2 endophytes can grow in plant tissues both above and below ground.